Understanding
Bite Issue
Align Your Bite
for Better Health

A girl defining the bite issue by placing a finger on teeths.

Different Types of Bite Problems and Their Treatments

Most people think that a slightly misaligned bite is just a cosmetic issue, something that only affects how their smile looks. But in reality, bite problems can affect chewing, speaking, jaw health, and even long-term dental well-being.

If you’ve noticed discomfort while eating, clicking in your jaw, or teeth wearing down faster than usual, it might be due to misaligned teeth. In this article, you’ll learn about the common types of crooked bites, why they happen, and practical steps you can take to manage them effectively.

5 Types of Bite Problems

1. Deep Bite

A deep bite occurs when the upper front teeth excessively overlap the lower front teeth.

  • Can cause gum irritation behind the upper front teeth
  • May lead to chipping or wear on the lower teeth.
  • Often related to jaw growth differences or genetics
Deep bite problem.

2. Open Bite

Open bite problem

An open bite happens when the upper and lower teeth don’t touch when the mouth is closed.

  • Can be caused by thumb-sucking, tongue thrusting, or abnormal jaw growth
  • Leads to difficulty biting certain foods like sandwiches or apples
  • May affect speech clarity and overall oral function

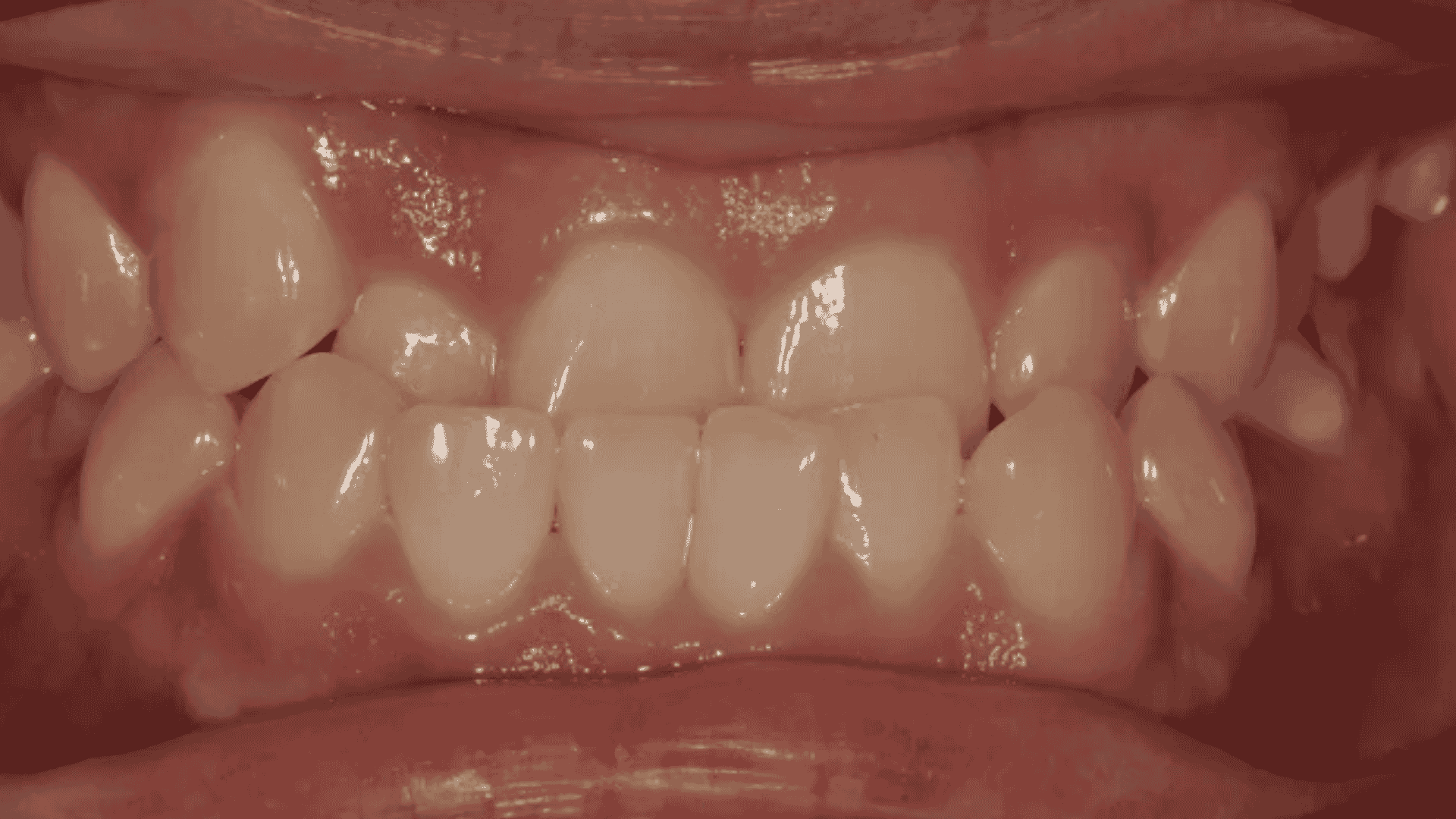
3. Underbite

An open bite happens when the upper and lower teeth don’t touch when the mouth is closed.

  • Can be caused by thumb-sucking, tongue thrusting, or abnormal jaw growth
  • Leads to difficulty biting certain foods like sandwiches or apples
  • May affect speech clarity and overall oral function
Under bite problem

4. Overbite

Over bite problem

An overbite is when the upper front teeth overlap the lower front teeth too much.

  • Can cause enamel wear, gum irritation, or jaw discomfort
  • Sometimes linked with overcrowding of teeth
  • Treatable through braces, aligners, or functional appliances

5. Cross Bite

A crossbite occurs when some of the upper teeth sit inside the lower teeth instead of slightly outside when the mouth is closed.

  • Can affect front teeth (anterior crossbite) or back teeth (posterior crossbite)
  • May cause uneven tooth wear, gum recession, or even bone loss if untreated
  • Often linked to jaw misalignment, delayed tooth eruption, or habits like thumb sucking
Cross bite problem

Science Behind Misaligned Bites

When your teeth don’t meet correctly, certain areas of the mouth bear more pressure than others. This imbalance can lead to:

  • Uneven tooth wear or chipping
  • Jaw discomfort or TMJ disorders
  • Difficulty chewing or biting certain foods
  • Speech difficulties

Over time, untreated bite problems can increase the risk of gum disease, tooth decay, and even chronic headaches.

Treatment for Bite Problems

Here is the treatments that solve these bite problems 

  • Clear Aligners: Clear aligners are a discreet, removable option for mild to moderate bite issues. They gradually reposition teeth, correcting deep bite, overbite, underbite, crossbite, and open bite. Aligners improve teeth alignment, restore proper bite contact, and enhance oral function. They are particularly preferred by those seeking a subtle treatment that works effectively without visible metal braces.
  • Braces: Braces are a versatile solution for many bite problems. They gradually move teeth into proper alignment, reducing issues like excessive overlap in deep bite and overbite, correcting underbite, fixing crossbite, and closing gaps in open bite.
  • Palatal Expanders: Palatal expanders widen the upper jaw to correct crossbite. By creating space, teeth shift into proper positions, preventing misalignment and uneven wear. They are particularly effective in children, improving chewing and speech.
  • Jaw Surgery: Jaw surgery corrects severe underbites and overbites that braces or aligners alone cannot fix. It repositions the upper or lower jaw to restore proper alignment, improve chewing, speech, and facial symmetry. Surgery, combined with braces before and after, ensures precise bite correction, long-term stability, and enhanced oral health.

The Real Problem: Why Bite Issues Happen

A bite problem occurs when your upper and lower teeth don’t meet properly. The severity can range from barely noticeable to visibly misaligned teeth. Understanding the causes can help prevent worsening issues over time. Some common reasons crooked bites develop include:

  • Genetics: Jaw structure and teeth alignment are often inherited.
  • Childhood habits: Thumb-sucking, prolonged pacifier use, or tongue thrusting can influence bite formation
  • Jaw size differences: Sometimes the upper or lower jaw grows unevenly, causing overbites or underbites.
  • Early tooth loss or decay: Missing teeth can shift your bite and create alignment issues.
  • Dental trauma: Injuries to the jaw or teeth may disrupt proper bite alignment.

Even small misalignments can lead to long-term issues like TMJ pain, uneven wear on teeth, and difficulty chewing if left untreated. If you’re noticing signs of a bite problem, schedule a consultation with DentoCorrect today to get a personalized evaluation and treatment plan.

Common Myths About Bite Problems

There are several misconceptions surrounding bite issues, which can prevent people from seeking timely correction:

  • It’s purely cosmetic: Many believe crooked bites only affect appearance. In reality, they can cause headaches, jaw pain, and excessive tooth wear.
  • Only kids need braces: Orthodontic treatment is usually recommended once all permanent teeth have erupted, typically around ages 12–13. While children are often the focus, treatments like braces or clear aligners can still be effective for teens and adults whose permanent teeth have fully developed.
  • All bite problems are the same: Not all misalignments are alike. There are distinct types of malocclusion, and each type may require a different approach to correction.
  • Minor misalignments don’t matter: Even slight irregularities can worsen over time, making early assessment important.
  • Braces will fix everything instantly: Bite correction is gradual and requires consistent follow-up and proper maintenance for effective results.

What Most People Get Wrong About Bite Problems

Many people underestimate the impact of a misaligned bite.

  • Worsen over time if left untreated
  • Cause chronic jaw pain or TMJ disorders
  • Lead to premature tooth wear or damage

The misconception that bite issues are just cosmetic often delays proper treatment. Consulting a dental professional early can save time, money, and long-term discomfort.

Practical Tips for Managing Misaligned Teeth

Even before orthodontic intervention, there are steps to protect your bite and oral health:

  • Maintain regular dental checkups to monitor alignment and detect early signs of overlapping teeth
  • Avoid habits that worsen misalignment, such as thumb-sucking, nail-biting, or tongue thrusting.
  • Consider early orthodontic evaluation for children to prevent long-term issues.
  • If you grind your teeth, your dentist may recommend a customized night guard to prevent further tooth overlap.
  • Maintain good oral hygiene to prevent decay that can affect bite alignment.

Following these habits can minimize discomfort and support the effectiveness of future orthodontic treatment.

Conclusion: Know Your Bite Before Treatment

If you’re unsure whether your bite problem requires correction, the best approach is to understand your specific case first. Proper evaluation helps determine the most effective treatment plan, prevents further complications, and improves both function and appearance over time. Its also important to know how to choose a right dentist. To get your teeth aligned schedule your consultation today with DentoCorrect.

Disclaimer

This article is for informational purposes only and does not replace professional dental advice. Treatment decisions should always be made after a clinical examination and diagnostic evaluation by a qualified dentist.

Quick Answers People Usually Ask

  1. Can overlapping teeth cause headaches?
    Yes, because misaligned bites put extra strain on jaw muscles.
  2. Are bite issues hereditary?
    Genetics often play a significant role in bite development.
  3. Can adults fix bite problems?
    Yes, with options like braces, clear aligners (know how clear aligners move teeths), or other orthodontic appliances.
  4. Do all overlapping teeth require surgery?
    No, many can be corrected non-surgically with orthodontics.
  5. How long does bite correction take?
    Depending on severity, it can range from several months to a few years.

Table of Contents

Introduction

Written by

Dr. Waheen Haider

Project Director, DentoCorrect Clinic

Related Articles

How to Get Rid of Bad Breath

How to Get Rid of…

Take control of your oral health with proven tips to reduce bad…

What is Teeth Crowding

What is Teeth Crowding

Learn what is teeth crowding and how it affects your bite, hygiene,…

Different Types of Bite Problems and Their Treatments

Different Types of Bite Problems…

Discover the 5 common types of bite problem, their causes, and effective…

What is Teeth Crowding

What is Teeth Crowding

Learn what is teeth crowding and how it affects your bite, hygiene, and overall oral health. Explore solutions including orthodontics and extractions.

Understanding Teeth Filling: A Complete Guide for Patients

Understanding Teeth Filling: A Complete Guide for Patients

Discover the different types of teeth filling, including composite and tooth color fillings. Find out how DentocCorrect can help with your fillings.

Get Your Clear Aligners
From DentoCorrect

Our modern techniques, latest digital technologies and expert dentists guarantee remarkable results!

Years of experience

0 +

Happy Patients

0 K+

Book Appointment

Scroll to Top